钟鼎生物可提供主细胞库(MCB)、工作细胞库(WCB)、生产终末细胞(EOPC)的遗传稳定性-Southern Blot检定服务,已成功检测多个CHO、293重组细胞的项目。钟鼎生物具备丰富的Southern Blot检测经验,依据药典方法及ICH、FDA及其它监管法规的要求,根据客户的不同申报需求,提供最佳的检测方案,以更好地帮助客户完成不同国家的IND和BLA申报。

| CHO细胞遗传稳定性检测 | ||||
| 实验项目 | 交付材料 | 周期 | 报价 | |
| 基因组DNA提取 | 1周 | 电询400-066-8086 | ||
| A.基因组DNA提取 B.限制性内切酶对基因组DNA进行酶切 |
1.基因组DNA的电泳检测图 2.基因组DNA酶切电泳检测图 |
|||
| 地高辛标记的探针合成 | ||||
| C.探针设计 D.探针合成 |
3. 探针电泳检测图 | |||
| Southern blot杂交 | ||||
| E.琼脂糖凝胶电泳 F.转膜 G.固定 H.杂交 I.显影 |
4.实验报告 | 1-2周 | 电询400-066-8086 | |
1.基因组DNA酶切电泳检测
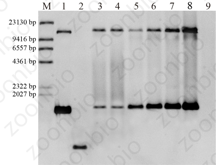
2.Southern Blot 检测CHO细胞抗体基因拷贝数-重链
Lane M:DNA Molecular-Weight Marker
Lane 1:HC阳性对照质粒
Lane 2:HC PCR
Lane 3:MCB-HC
Lane 4:EOPC-HC
Lane 5:HC- copy -2.5
Lane 6:HC- copy -5
Lane 7:HC- copy -10
Lane 8:HC- copy -20
Lane 9:HC- 阴性对照
3.Southern Blot 检测CHO细胞抗体基因拷贝数-轻链
Lane M:DNA Molecular-Weight Marker
Lane 1:LC阳性对照质粒1
Lane 2:LC阳性对照质粒2
Lane 3:LC PCR
Lane 4:MCB-LC
Lane 5:EOPC-LC
Lane 6:LC- copy -2.5
Lane 7:LC- copy -5
Lane 8:LC- copy -10
Lane 9:LC-阴性对照
相关服务
猜您想看: