配对型单克隆抗体制备服务

  ◎当前位置:首页>>技术服务>>抗体相关技术服务>>配对型单克隆抗体制备服务
服务概述

    配对抗体(抗体对)是针对同一抗原产生的两种不同抗体,但具有不同的结合区或表位,差异表位识别允许两种抗体同时结合至同一抗原。通俗来讲,就是指可以同时结合在一个抗原分子的不同抗原决定簇的两个抗体。

    配对抗体在体外诊断、兽医诊断等领域是十分重要的原料,钟鼎生物在抗体研发领域深耕多年,有着十分丰富的抗体制备经验,对抗原表位分析、抗体筛选及抗体标记方面层层把控,更大程度保证抗体配对的成功率。

服务优势

配对型单克隆抗体制备优势

服务流程

配对型单克隆抗体制备流程

 

交付产品标准

•剩余免疫原蛋白
•2-5株阳性克隆细胞株(含1-2对配对抗体的阳性克隆细胞株),每株细胞2支冻存管
•至少1对可配对抗体,每个抗体1-3mg

补充说明:委托钟鼎生物制备免疫原,并筛选得到的阳性细胞株,我们可提供细胞培养上清,供客户验证细胞株的特异 性和亲和力指数。

抗体配对检测案例

    案例背景:根据客户提供的序列,为客户重组表达抗原蛋白X;以蛋白X为抗原来免疫小鼠,通过融合细胞培养上清配对筛选出 配对抗体细胞株A和B,进而纯化抗体A和B,通过夹心ELISA检测A、B配对灵敏度。



案例 案例
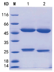
A、B抗体纯度SDS-PAGE检测
M:蛋白标准分子量
Lane 1:A抗体
Lane 2:B抗体

实验结论:A纯化抗体与B标记抗体配对检测灵敏度、B纯化抗体与A标记抗体配对检测灵敏度均可达到0.97pg/ml。

保密性说明

南京钟鼎生物技术有限公司拥有众多商业合作伙伴,深知保密工作对这些公司的重要性,我们极度重视保密性,在与您沟通之前先签署保密协议,并采用多重的防火墙及保障举措,以保护您的隐私权。

保护您的商业机密是钟鼎生物最基本的职业素养!



热门栏目您可能对以下内容感兴趣:

《IVD原料定制服务》
《ELISA试剂盒开发服务》
《胶体金试纸条开发》